You are here
People with Sickle Cell: Gathering Data and Stories to Survive and Thrive
Imagine watching your five-year-old daughter suffer intense pain for the first time. "It was really terrifying for me because I had heard about sickle cell, but until you actually see your child go through a pain crisis, it's like nothing you've ever seen before."
Affecting an estimated 100,000 Americans, Sickle Cell Disease (SCD) is the most common inherited blood disorder in the U.S. About 1 of every 500 Black babies and 1 out of every 36,000 Hispanic babies are born with SCD, which causes a wide range of symptoms, including mild to severe pain, anemia, organ damage, stroke and other serious complications. People with the most severe form of SCD have a 20-30 year shorter life expectancy than people without SCD. But without knowing who is affected, where they are, and what kind of care is available and accessible to them, it’s difficult to provide support and promote better health outcomes.
In 2015, the Sickle Cell Data Collection (SCDC) project was launched by the CDC Foundation with financial support from the private sector in partnership with CDC’s Division of Blood Disorders. Scientists gather health information from multiple sources in California and Georgia to determine how many people live with the disease in these two states, and to study long-term trends in diagnosis, treatment and healthcare access. The project recently expanded to 16 states.
This surveillance data can help us better understand some of the barriers to health care experienced by people with SCD by:
• teaching healthcare providers about how people with SCD interact with the healthcare system;
• providing researchers with accurate information to improve healthcare access for people with SCD; and
• educating policymakers and healthcare administrators about opportunities for improving healthcare services for people with SCD.
People living with sickle cell disease (SCD) are more than just their disease. Stories of Sickle Cell aims to highlight the unique stories and perspectives of those living with SCD, their families, and their healthcare providers in their own words.
Watch and read more Stories of Sickle Cell.
- Pfizer Inc.
- Sanofi
- Global Blood Therapeutics, Inc.
- Doris Duke Charitable Foundation
- CDC's National Center on Birth Defects and Developmental Disabilities
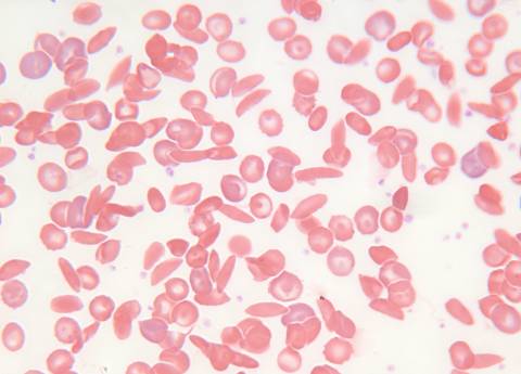
What Is Sickle Cell Disease (SCD)?
Healthy red blood cells are round and move through small blood vessels to carry oxygen to all parts of the body. A person with SCD has red blood cells that become hard and sticky and look like a C-shaped farm tool called a “sickle.”
Sickle cells can get stuck in small blood vessels and block the flow of blood and oxygen to organs in the body. These blockages cause mild to severe pain and other serious health problems like infections, organ damage, eye disease, stroke and acute chest syndrome, a life-threatening lung issue.
Pregnancy and SCD
SCD complications like high blood pressure and blood clots may be more common during pregnancy. So it's especially important for people with SCD to receive regular preconception, prenatal and postpartum care. If you’re living with the disease and are pregnant or thinking about getting pregnant or you know someone who is, there are resources to help.
"The SCDC program is a major contribution to the health equity movement. With committed partners like CDC Foundation, we are turning data into action to help inform policy change, systems-level changes, and a more holistic approach to reducing disparities for people living with sickle cell disease.”
-- Dr. Karen Remley, Director, CDC National Center on Birth Defects and Developmental Disabilities